사랑니 뽑기 전에 여러 가지 고통을 겪게 될까 봐 걱정되고 두려운 당신을 위한 후기글입니다
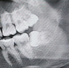
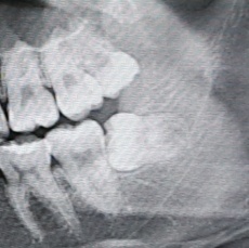
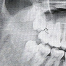
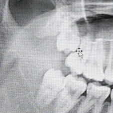
일단 저는 3년 전에 오른쪽에 누워있는 수평 매복 사랑니 하나, 왼쪽 위에 살짝 누운 매복 사랑니 하나, 왼쪽 아래의 매복 사랑니 하나, 오른쪽 위에 그나마 제대로 나온 사랑니 하나를, 크기가 커서 마취하고 두 조각으로 쪼개서 고통 없이 뽑고 멀쩡하게 살아있습니다


무시무시하게 누워있는 매복 사랑니를 하나도 아프지 않게 뽑을 수 있을까요?
: 그건 사람마다 다릅니다. 뽑아보기 전에는 아플 지 안 아플지 알 수가 없습니다
저는 수술 전에 병원에서 주는 타이레놀을 먹어서 그런 지, 수술 당일에 삼겹살에 소주도 먹고(건강이 걱정돼서 소주는 한 잔 마시고 그만뒀지만) 순두부찌개도 먹었습니다. 이후에 통증도 별로 없었고 그저 이가 빠진 자리가 허전하다는 느낌만 들었습니다.
반대로, 수술 후에 잇몸이 퉁퉁 붓고 고통이 심해서 죽도 못 먹을 정도가 되어 며칠간 굶어서 영양실조까지 걸리는 사람도 있습니다.
뽑아 보기 전에는 알 수 없지만 가능한 한 고통을 피하고 싶으시다면, 병원에서 수술 전에 진통제를 주지 않는 곳도 있으니 일단 진통제를 먹고 가시는 것을 추천드립니다.
사랑니를 뽑고 나서 아무거나 먹을 수 있을까요?
: 보통 이를 오른쪽 위 아래나 왼쪽 위 아래 중 한쪽을 한 번에 뽑는 게 좋습니다. 그렇게 해야 수술하지 않은 쪽 이로 음식물을 씹을 수 있기 때문입니다. 음식물을 한쪽으로만 먹으니까 아무거나 먹어도 될 수 있다고 생각하지만, 고춧가루 등이 들어간 매운 음식이나 소주 등의 주류는 드시지 않는 게 좋습니다. 만약 음식물이 수술한 부위에 끼게 된다면 실밥 사이에 음식물이 껴서 염증이 생기게 되거나 알코올이 염증을 유발하게 되기 때문에 위험할 수 있습니다.
특히 마취가 풀리지 않은 상태에서 뜨겁거나 씹어야하는 음식을 먹는 것이 가장 위험합니다. 마취로 인해 입안에 감각이 없는데, 이때 이러한 음식을 먹게 된다면 화상을 입거나, 볼 안쪽, 입술 안쪽, 혀를 씹게 돼서 심각한 경우 혀가 절단될 수도 있습니다. 아까 언급했듯이 저는 한쪽 이를 뽑고 난 뒤 뜨겁고 매운 순두부찌개를 먹은 적이 있었는데, 친구와 점심약속이 있었다는 사실을 잊어버려서 어쩔 수 없이 밥을 먹으러 갔습니다. 마취가 적당히 풀려가는 와중이었어서 괜찮을지도 모른다고 생각하고 먹었는데, 입술 안쪽을 씹기는 했지만 다행히도 심하게 씹지는 않았습니다. 화상을 입지 않게 입술로 먼저 뜨거운 정도를 확인하고 입 안으로 수저를 넣었습니다. 만약 심하게 씹어서 혀가 절단되었거나 입 안에 화상을 입었다면 정말 큰일이 날 수도 있었던 상황입니다. 그러므로 마취가 풀리기 전에는 아무것도 먹지 않는 것을 추천드립니다.
언제쯤 수술하는 것이 좋을까요?
: 저는 전문가는 아니지만, 사랑니를 발견한 그 즉시 병원과 상담 후에 뽑는 게 좋다고 생각합니다. 제가 사랑니의 존재를 13살때 충치치료도 하고 검진도 받으면서 알게 됐는데, 그때도 매복 수평 사랑니였습니다. 이게 치열에 어떤 영향을 미칠지 모르고 그냥 성인이 될 때까지 두고 23살에 뽑았는데, 누워있던 사랑니가 자기가 자랄 자리를 고르게 자란 치열을 압박시켜서 치열이 좀 비뚤어졌습니다. 저는 교정을 한 적이 없는데 교정했냐는 소리를 종종 듣는데, 만약에 사랑니가 없었다면 더 고르게 자란 치열을 가질 수 있었을 겁니다... 게다가 매복 수평 사랑니 바로 앞에 있는 어금니 하나는 뿌리가 사랑니에 눌려서 어금니도 누워있습니다.
뽑고 나면 안 불편한가요?
:뽑고 나면 사랑니가 차지하고 있던 잇몸 부분에 공간이 생기면서 빈틈없이 빡빡하게 위치하던 치열에 상대적으로 여유가 생겨서 이 사이에 공간이 조금 생길 수 있습니다. 더 넓어진 치아 사이의 틈으로 음식물이 더 잘 낄 수 있습니다. 치실을 사용하면 치아 건강을 유지할 수 있습니다. 치실을 매일 해줘야 한 다는 점이 불편하긴 합니다.
뽑고 나서 좋은 점도 있나요?
: 개인적인 경험인데, 저는 사랑니를 뽑기 전에 턱에 통증이 있었습니다. 만성적으로 아픈 것이 생기면 둔감하게 느끼는 편이라서, 턱 근육에 문제가 있다고 생각하고 그냥 살았는데 사랑니를 뽑고 나니까 통증이 사라졌습니다. 제가 느꼈던 통증은 사랑니가 주변에 있는 이를 누르는 통증이었던 것 같습니다. 그리고 기분 탓일 수도 있지만 얼굴이 더 갸름해진 것 같습니다. 아주 미세하게 말이죠... 사랑니가 있던 자리를 윗니 아랫니 상관없이 손가락으로 눌러보면 쏙 들어가는 게 신기합니다. 그냥 사랑니를 뽑은 나이에 젖살이 서서히 빠지고 있었던 걸지도 모릅니다.
사랑니를 뽑는 과정은 어땠나요?
: 오른쪽인지 왼쪽인지 정확하게 기억은 나지 않지만 처음에 가서 한 쪽의 위 아랫니를 모두 뽑기로 했습니다. 수술 전에 타이레놀을 병원에서 줘서 먹었고, 뽑을 이를 치과 의자에 누워서 화면에 나온 제 치아 사진을 보면서 두려움에 덜덜 떨었습니다. 마취 크림을 발라서 마취시킨 후에 감각이 느껴지는지 확인했는데 느껴져서 더 기다렸다가 뽑기로 했습니다. 매복되어 있어서 잇몸을 쨌고, 이가 커서 두 조각으로 쪼개서 뽑았고 실로 꿰맨 뒤에 수술 부위를 거즈로 꾹 깨물고 있었습니다. 병원비를 결제할 때부터 그 이후 몇 시간 동안은 말을 하면 안 되기 때문에 말없이 결제했습니다. 주의사항과 몇 시간 뒤에 거즈를 뺄 수 있는 지를 데스크에서 코팅된 종이에 적어줬고 그걸 사진으로 찍어왔습니다. 병원 아래에 있는 약국에 들어가서 약을 받을 때도 사랑니 뽑은 환자인 걸 알아서 아무 말 없이 가서 결제하고 왔습니다.
이틀 뒤에 수술한 부위의 실밥을 뽑으면서 다른 쪽 사랑니도 뽑았고, 그로부터 이틀 뒤에 그 부위의 실밥을 제거했습니다.
사랑니를 뽑기 전에 주의할 점이 있나요?
: 밥을 먹고 가세요. 수술 후 몇 시간은 먹을 수 없기도 하고, 통증이 너무 심해서 아무것도 못 먹을 수도 있습니다. 지인이 최근에 사랑니를 뽑았는데 당연히 알 줄 알고 말해주지 않았는데 너무 아파서 아무것도 못 먹고 굶더라구요ㅠㅠ
밥을 먹은 뒤 칫솔질을 하고 치실도 하고 가세요. 다만 칫솔질과 치실을 너무 세게 해서 잇몸이 붓지 않게 해야 합니다. 저는 뽑을 때 잇몸이 부어서 가라앉을 때까지 좀 기다렸습니다
그리고 진통제를 가져가세요
수술 뒤에 아플지도 모릅니다
사랑니를 뽑을 때 가격이 어떻게 되나요?
: 2년 전 기억이라 치과에 가서 사랑니를 뽑으면서 충치치료도 같이 했던 것 같기도 해서 가격이 정확하진 않습니다만, 카드 결제 내역을 보니 270,000원 / 236,900원 / 90,100원으로 나와있네요. 오른쪽 사랑니 2개 발치 / 오른쪽 사랑니 2개 실밥 제거 및 왼쪽 사랑니 2개 발치 / 실밥 제거였던 것 같습니다. 사랑니는 우리의 일반적인 치아에 포함이 되지 않기 때문에 보험처리가 되지 않습니다. 오른쪽 뽑을 땐 치아를 쪼개서 뽑았어서 그 부분이 가격이 더 나온 것 같습니다.
사랑니를 뽑기 전에 많이 무섭겠지만, 당신도 어쩌면 저처럼 하나도 안 아플지도 모릅니다. 매복 수평 사랑니여도요 ㅎㅎ
아무 일 없을 거니까 걱정 말고 다녀오세요
'생활' 카테고리의 다른 글
| 하나은행 푸시알림(광고) 설정하기 (0) | 2022.08.02 |
|---|---|
| [데이트/DDP] 팀 버튼 특별전 (0) | 2022.07.13 |
| 토스뱅크카드 국내에서 캐시백을 최대로 받으려면 어떻게 결제해야 할까? (0) | 2022.03.14 |
| 건강검진 대상자 확인 및 검진 결과로 빈혈 치료한 후기 (0) | 2022.03.06 |
| [이모티콘] 카카오/네이버OGQ/라인 제안, 승인/미승인, 수익 (0) | 2022.03.06 |